
[size=5] 患者男,45岁。主述突感胸闷胸痛;呼吸困难30分钟。
该患者在今晨40分钟前进行户外跑步锻炼大约10钟后,突感胸闷胸痛,进行性加重,并出现呼吸困难及全身冷汗。被路边熟人发现急送我院,查;P102次/分 R26次/分 T36.2度 BP120/80毫米汞柱。查体,端坐呼吸,两肩耸起,精神状态欠佳,呈急性病容,口唇轻度紫绀,颈静脉无怒张,气管略向左移位。患者右侧胸廓略显饱满,但查无畸形,皮下无捻发音,无握雪感,左肺呼吸音清,未见异常罗音。右肺中上部分呼吸音消失,语颤音减弱,叩诊呈鼓音,心音纯率齐,102次/分,各个瓣膜未闻及杂音。腹部个压痛点未见异常,生理反射纯在,病理反射未引出。
辅助检查;
心电图检查示:HR102次/ min,RR均齐,P- R间期,QRS时限,Q- T间期均在正常范围,P波电压>0 。2 5m V,QRS波两种形态交替出现,ST- T无明显异常,嘱患者闭气后描记心电图。QRS波呈一种形态,电交替现象消失
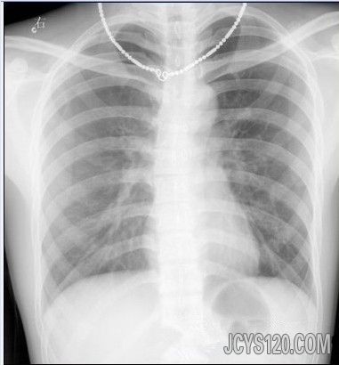
胸片;
[/size]
[/color]
发布于 2013-05-06 11:42:00 IP 属地·中国|辽宁省|沈阳市
治小儿顽咳效方 3012评论
皮肤病图片大全(1000张之多) 2829评论
医生营生绝活---简方疗便秘 2647评论
新农合受益方排名 2604评论
小儿感冒咳嗽输液特棒的方子(我的临床经验常用方) 2380评论
2011年,新的一年,基层医生网每日红包继续!!! 2368评论
灌肠治愈儿童咳嗽的处方。 1704评论
孕妇牙疼怎么办? 1703评论
看看我治疗的小儿咳嗽处方. 1564评论
搽痔疮肿痛简效方 1551评论